D
r
.
K
a
r
t
i
k
P
o
o
n
j
a
C
l
i
n
i
c


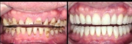
Our advanced crown treatments restore damaged teeth with natural-looking aesthetics and long-lasting durability.
Reinforces structurally compromised teeth and restores full functional integrity.
Provides long-term protection and stability through premium, durable dental crown materials.
Thoughtfully planning treatments around the needs of your unique smile.
Our team provides accurate information about crown and bridge treatment and ensures you fully understand your options before proceeding.
A crown restores a single damaged tooth by completely covering it, while a bridge replaces one or more missing teeth by anchoring to adjacent healthy teeth.
They are fixed restorations and not removable by the patient. With proper care and regular check-ups they can last for many years.
Yes. We use high-quality materials that closely match the colour, shape and translucency of your natural teeth to ensure a seamless appearance.
No. Local anaesthesia is used to keep you comfortable, and most patients experience little to no discomfort during treatment.
Maintain good oral hygiene, brush and floss daily, and attend regular dental visits to ensure the longevity and stability of your restoration.